症例のご紹介23
A様 70代 女性
詳細
こちらの方は、近所の方で、看板を見てのご来院でした。
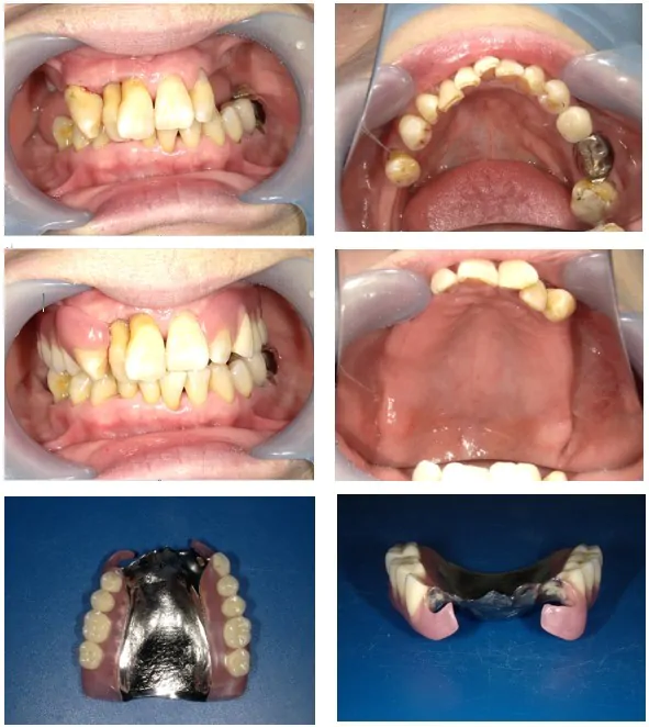
歯ぐきが腫れて痛いというのが来院のきっかけでしたが、それ以外にも使用していた入れ歯の調子も悪く、全体的な治療が必要な状態でした。入れ歯は、他の歯科医院で2年ほど前に入れていたものがありましが、違和感が強く、結果的に殆ど外していたそうです。入れ歯を外していることで、奥歯では噛み合わせることが出来ないため、その力は自ずと前歯にかかってきます。下の前歯によって、上の歯を突き上げる形となり、結果的に他の歯や、今回の急性症状をおこしていた歯周病が悪化する危険性がありました。奥歯でしっかり噛める義歯(入れ歯)を入れない限り解決しないことがわかります。
歯周病が悪化して歯を支える歯槽骨まで影響が出ていた歯は、やむを得ず抜歯をして、そこへ即時義歯をセットしました。即時義歯とは、抜いたその日にすぐに使うことができる仮の入れ歯を入れる治療法です。本来は、歯を抜いた後に型取りをして、技工所に製作してもらいますので、どうしても歯がない期間が出てしまいます。即時義歯は、歯を抜く前に「抜けた後はこういう状態になることを予想して先に入れ歯を製作しておく」方法になります。保険診療の義歯の場合、制度上の6か月は新しい入れ歯が作れないルールになっているため、今回は自費診療の義歯として、できるだけ精度も高い義歯製作に臨みました。並行して歯周病治療を進め、歯ぐきの状態が落ち着いたところで、本格的な義歯製作に入りました。歯周病治療の結果、どこまで歯が残せるか、長期的にもつ歯と残念ながらそうではない歯をシミュレーションして、将来を見通すことが入れ歯作りには大切な要素です。それにより設計が変わってきます。
今あるご自身の歯を前提に入れ歯は製作しますが、将来抜けてしまう可能性が高い歯がある場合は、そこを増歯(人工歯を付け足す修理)できるように設計するなど、多少の口腔内の変化にも対応できる入れ歯を設計します。そうしないと、また一から再生し直すことになり、身体の負荷、時間や経済的な負担もしいてしまうことになります。今回は上顎で吸着性を得るため少し大きめの「床」が必要な形状でしたので、軽くて丈夫なチタン素材のものを選択しました。現在は、「よく食べられるようになった」と喜んで頂いています
経過の写真

| 治療期間 | 約2ヶ月(5回の来院) |
|---|---|
| 治療費用 | 約45万円 |
| 副作用とリスク | 上下の入れ歯のため十分になれるまでに時間がかる場合があります。 |

